

1-11.All features of the Flexion Advanced | 12. SensorUnitControls photo or video recordings easily with a hand gesture; including the display for the Selective Filter system | 13. Front Iris DiaphragmControls the aperture (width) of the front LED lighting | 14. Selective Filter SystemWhite – Natural – Orange – Green |
15. Rear Iris DiaphragmControls the aperture (width) of the rear lighting | 16. AntiGlare ModeEliminates unwanted reflections on the tooth (located on the left) | 17. Twin ModeFluorescence Mode (Twin Blue) or Boost Mode (Twin White) |
Visibility through Fluorescence
In addition to the white LED, the Flexion Twin Blue is equipped with a second LED (dark blue). This second beam projects fluorescent UV light, which improves the identification of restoration materials, tartar and caries. It also causes porphyrins inside the caries bacteria to fluorescence orange/red.

Light Boost with up to 200.000 Lux
The Flexion Twin White is equipped with an additional powerful white light for additional luminosity. Both LEDs can be switched independently to offer 200,000 Lux of total luminosity. This is ideal for identifying structure in the root canal.

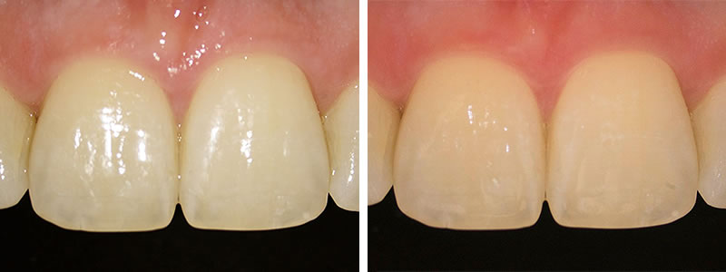
The AntiGlare system eliminates all unwanted reflections for an enhanced view of the tooth surface. It will also improve documentation for better communication with labs and technicians.
Included to both models (Twin Blue & Twin White)

The Selective Filter System
The Selective Filter System offers four optical filters to enhance visibility and efficiency.
The White Light is the standard setting with a homogeneous field of view and 5.400 K colour temperature.
The Natural Light Filter offers improved visibility between hard and soft tissues. It will extend the preparation time for composite materials, while delivering a natural light.
The Orange Filter prevents curing of composite and bonding materials during restorative procedures.
The Green Filter improves the visibility for the blood supply in surgical applications.

Included to both models (Twin Blue & Twin White)
| Basic | Advanced | Advanced SensorUnit | Twin lite (Blue or White) | Twin (Blue or White) | |
LENSES / BODY / OPTICS | |||||
| 5 step full Apochromatic German optics: | |||||
| MonoGlobe movement system: | |||||
| Suspension arm with transport lock / integrated micro HDMI cable: | |||||
| Swivel arm / HDMI / 24V: | |||||
| Swivel arm / HDMI / 24V / USB: | |||||
| 30º ergo optic with beam splitter 50:50: | |||||
| Swivel tube 0-200º: | |||||
| Straight tube f’ = 170mm APO, IPD 45-80mm: | |||||
| IPD adjust knob for swivel tube 0-200º: | Optional | Optional | Optional | Optional | Optional |
| 2 pcs WF 12.5x eyepiece (± 5 dpt adjustment): | |||||
| 1 pc WF 12.5x eyepiece with reticle (± 5 dpt adjustment): | Optional | Optional | Optional | Optional | Optional |
| Choose between VarioFocus4 (200-350mm Plan-APO) or VarioFocus5 (210-500mm Plan-APO): | |||||
| Interchangeable objective protection: | |||||
| Interchangeable objective protection with hydrophobic coating: | Optional | Optional | |||
LIGHTING SYSTEMS & FILTERS | |||||
Fan-less LED light (100,000 Lux) WITHOUT spot diaphragm: | |||||
Fan-less LED light (100,000 Lux) WITH spot diaphragm: | |||||
Additional BLUE LED light (improves identification of restorative materials, tartar and caries): | Twin lite Blue | Twin Blue | |||
Additional WHITE LED light (total of 200,000 Lux): | Twin lite White | Twin White | |||
Orange filter (prevents composite cure): | Choice between Orange and Natural | ||||
Natural filter (closer to real warm light and increases the preparation time when working with composite): | Choice between Orange and Natural | ||||
Polarizing filter (antiglare): | |||||
Green filter (improves visibility of the blood supply): | |||||
Display for filter visualization: | |||||
DOCUMENTATION | |||||
SensorUnit (for touchless photo/video): | |||||
4K-Imaging-Port: | Optional | ||||
HD-Imaging-Port: | Optional | ||||
Camera power adapter: | |||||
Phone-Imaging-Port: | Optional | Optional | Optional | Optional | Optional |
Phone-Imaging-Port connection adapter: | |||||
Universal tablet holder: | Optional | Optional | Optional | Optional | Optional |
Monitor holder with VESA: | Optional | Optional | Optional | Optional | Optional |
MOUNTING OPTIONS | |||||
Mobile, Floor, Ceiling, Wall: | |||||
Dental unit: | Optional | Optional | Optional | Optional | Optional |
Smart SOLUTIONS for your success!