
Applications
Orthodontic Retainers
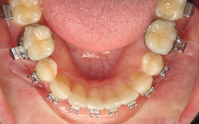
Fast Splint Matrix® 1:1 fiber is ideal for orthodontic retainers. It has a low profile which results in a very unobtrusive retainer that is still strong enough to maintain tooth position and resist tooth movement. A fiber retainer is preferred by patients seeking a more esthetic alternative to metal wires, and many dental professionals will find that making and placing a Fast Splint Matrix® fiber lingual retainer is faster and easier than bending and placing metal wire. This is especially true with teams that don’t routinely place retainers or face regular change in personnel, as the Fast Splint Matrix® system has a short learning curve and can be less technically sensitive than metallic wire retainers. If a dental office is currently outsourcing the fabrication of the retainer to a lab, the Fast Splint Matrix® system gives them an easily accessible solution for making them in-office. For those who prefer to outsource the work, any dental lab can easily fabricate lingual retainers for the dentist, who then simply bonds them in place using the matrix technique.
Periodontic/Trauma Splinting
Dental fibers have been in use for various splinting and reinforcement applications for many years and in the last few years have progressed significantly in their quality and ease of use. Current generation materials are in fact a lot more alike than they are different. The better materials, like Fast Splint Matrix® fibers, are made from a glass fiber and are pre-impregnated in a light cure resin. The pre-impregnation makes the fibers easier to handle and stronger as well, as the resin/glass matrix is more homogeneous due to better resin penetration into the glass bundles. It also results in a chemical bond to the bonding and composite materials that are used in the complete process.
Space Maintainer/Flipper
Using the 1:1 fiber, the Fast Splint Matrix® system permits the fast and simple fabrication of single-tooth space maintainers/flippers that are far more esthetic, comfortable for patients and less bulky than other solutions. Single tooth acrylic flippers and suck-down type stents can easily be removed by patients leading to poor compliance and possible tooth displacement that compromises the final prosthetic solution. The Fast Splint Matrix® single tooth flippers are simply a much better solution. They are bonded into place, easily tolerated by patients and only come out when the dentist says it’s time!
Contact us today or schedule an appointment
Technical Information
Case 1

Case 2

Case 3

Case 4

Space Maintainer or Flipper – Step by Step (10:14 min.)
Splinting technique with a matrix – Step by Step (5:34 min.)
Smart SOLUTIONS for your success!




