From incipient decay, to visualization of bone loss, root damage, or all forms of subtle pathologies, CADI® Optimum AIR is unsurpassed in its ability to provide essential diagnostic information.
Traditional dental x-ray sensors consist of a series of components than transfer x-ray signals into visible light, that can then be detected by a CMOS or CCD chip. This involves two transfers and a loss of diagnostic ability.
CADI® Optimum AIR eliminates the scintillator and fiber optic plates that are required in competitive x-ray sensors.
Simply place the sensor in the specially designed holder system. You and your patients will experience the most streamlined and comfortable x-ray taking process available today.
CADI® Optimum AIR uses low energy technology to quickly and effectively transmit imaging data wirelessly to a docking station, located in each operatory. A fast charge system ensures it’s always ready for the next x-ray.
The unique, specially designed holder system maximizes patient comfort and speed of sensor placement.


The convenience of wireless, eliminate USB cable wear

Direct conversion technology for higher resolution images

5-year warranty against manufacturing defects

Dental Advisor 2024 Top Award Winner

The two most fragile components of traditional x-ray sensors are the wire and fiber-optic plate/scintillator combination found within traditional sensors. We’ve eliminated them.
CADI® Optimum AIR sensor casing is robust to be resistant to impacts, falls and compression. It is sealed to protect from dust and liquids. (5-year warranty)
CADI® Optimum AIR features a unique, exclusive direct x-ray capture. There is no need to convert the x-ray waves into visible light using fragile components.
By developing a highly reliable and consistent wireless system, there is no need for a wire to transmit the signal from sensor to the computer.

| Detector: | Single Crystal Direct Conversion Silicon / CMOS |
| Pixel Physical Size: | 26μm |
| Recommended Exposure Parameters: | 70kV, 6-8ma, 120-320ms |
| Active Area: | 35.1mm x 24.7mm |
| Pixel Resolution: | 12 bits |
| Number of Pixels: | 1,249,920 |
| MTF: | >70% @ 5lp/mm, >40% @ 10lp/mm |
| Sensor Mode of Operation: | Global Shutter |
| Triggering: | Automatic on X-ray Start |
| Storage RAM: | 4 MB |
| Range: | up to 3 meters |
| Images per Charge Cycle: | 150+ |
| Sensor Battery Type: | Lithium-Ion |
| Sensor Battery Capacity: | 19 mAH |
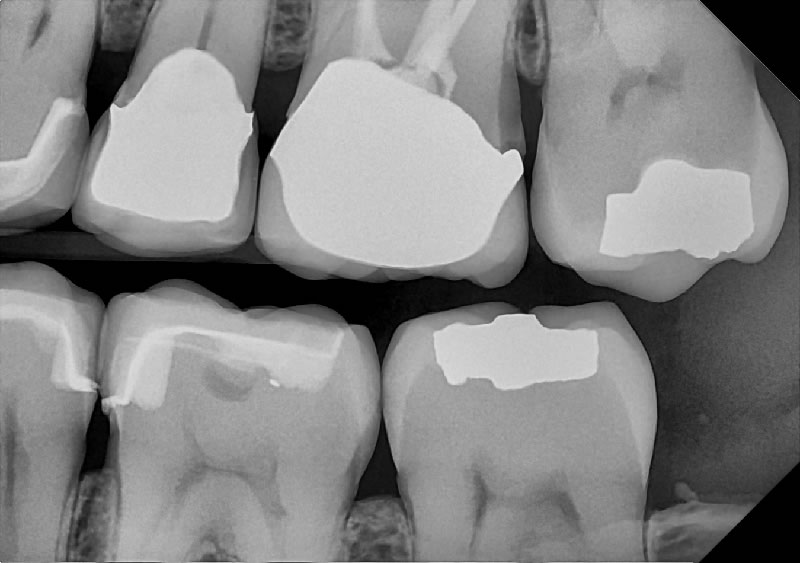
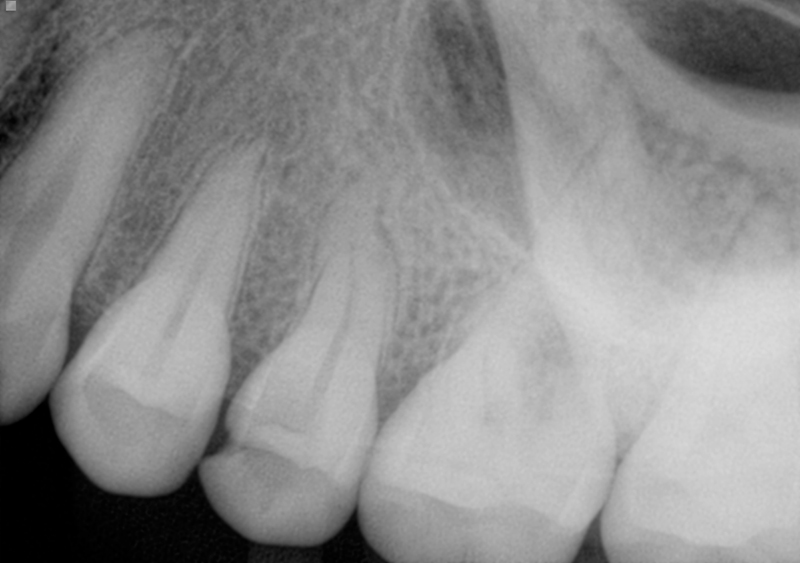
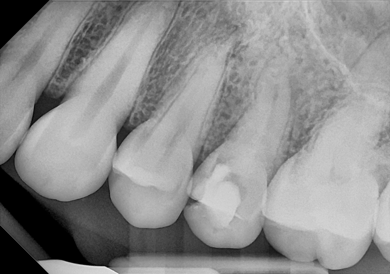
Only CADI® Optimum AIR features Direct CMOS technology that creates images directly from x-ray photons. True clarity is achieved without the need for sharpening enhancements.

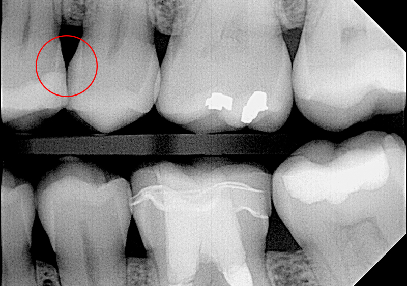
RAW image of non-direct technology

RAW image of CADI® Optimum AIR

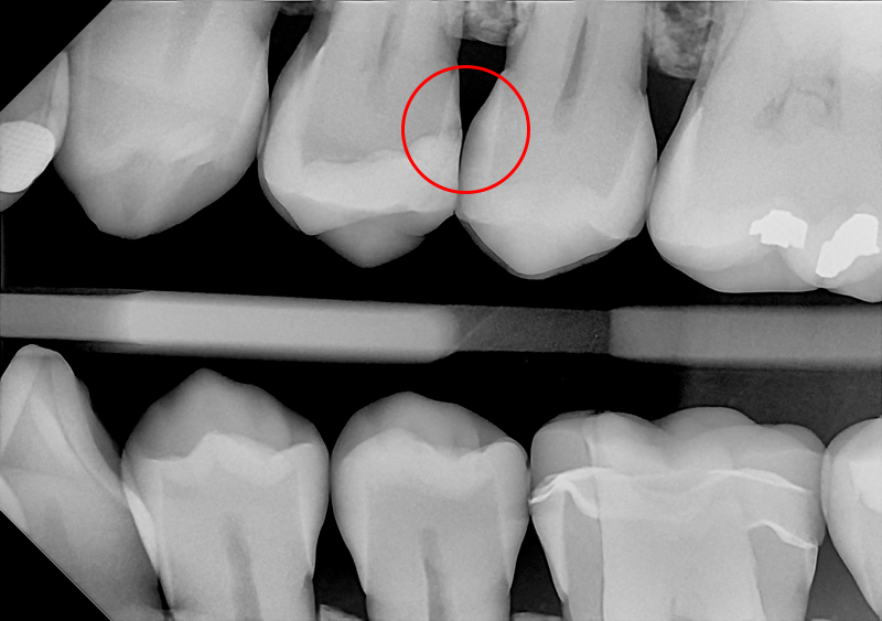
RAW image of non-direct technology

RAW image of CADI® Optimum AIR

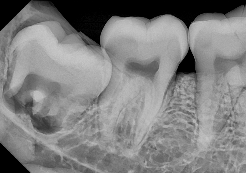
RAW image of non-direct technology

RAW image of CADI® Optimum AIR

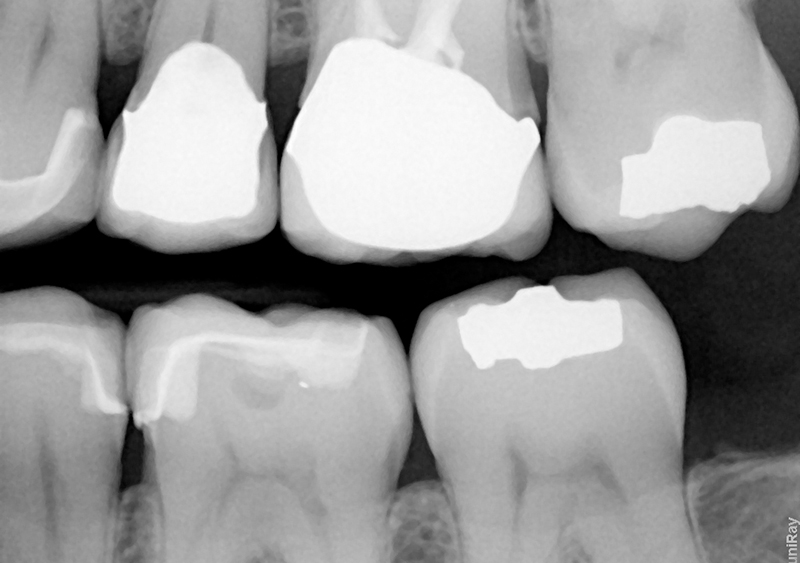
RAW image of non-direct technology

RAW image of CADI® Optimum AIR

RAW image of non-direct technology

RAW image of CADI® Optimum AIR

USB cables are really meant for devices like printers and speakers that plug in once and stay connected. That’s why things like sensor cables and cell phone chargers break so often: the constant wear from unplugging and reconnecting, bending and moving. The CADI® Optimum AIR docking station acts as the home base for the sensor on the counter, eliminating any USB plugging or movement to move the wireless CADI® Optimum AIR sensor to a different room.
The wireless channel of communication between the sensor and the docking station is Health Canada and ISED cleared for security and reliability. The wireless communication of image data is protected by the latest Bluetooth® encryption and minimizes the exchange of PHI over the wireless link.
The CADI® Optimum AIR docking station intelligently monitors the wireless x-ray sensor’s battery health to optimize charge and longevity. The replaceable lithium ion battery is rated for a 5-year life and thousands of charge cycles.

Each room is equipped with its individual docking station, and a sensor is associated with each of these stations. Consequently, the data transmission follows a one-to-one pattern, and simultaneous transmission is also feasible.

Each room is equipped with an individual docking station, and all docking stations receive data from a single sensor. The sensor has the capability to interact with only one docking station at a time. This interaction occurs when the user consistently remembers to place the sensor on the specific docking station to which they intend the captured images to be sent before usage.

A single docking station has the ability to be paired with multiple sensors; however, data transmission consistently occurs exclusively between a particular docking station and the last sensor that was paired with it.

Exclusive 16-bit grayscale Windowing feature eliminates parts of the image that don’t contribute to diagnostics.

Use pre-set or customizable x-ray real-time filters to visualize the most diagnostic images possible. The raw image data is always available, so you can unclick a filter at any time. Click on the “Filter” window and simultaneously zoom to view 6 different filtered images.

CADI POM (Peace of Mind) is a comprehensive program to supply state of the art x-ray and imaging software, as well as service, support and discounts for all your x-ray and intra-oral camera products.

Software value of up to $8000, upgrade maintenance value of $1000 per year
There is no need to buy your imaging software up front. You will be supplied with a license to use CADI on all your workstations. In addition, the programming team works continually to improve and update CADI. You not only benefit from new features, but you also maintain your x-ray and imaging system compatible with the continual changes in dental imaging equipment, PCs and networks, and the Windows operating environment.
Value of $115 per call/issue
Your CADI technical support team will provide you with unlimited technical support calls to deal with all issues related to the satisfactory operation of your CADI software and imaging and x-ray equipment used on the CADI system. Note that some issues relating to the functioning and troubleshooting of non-Synca x-ray and imaging equipment must be resolved by the respective equipment vendor.
Value of $250-$500 per incident
For X-ray sensors, intra-oral cameras and other imaging equipment that is repairable, both during and post-warranty, you will benefit from a free loaner product, while your existing product(s) is being serviced. An identical or similar product will be provided for the duration of the repair.
You will receive: Free shipment of loaner equipment to your office, free return of your defective product to Synca, free shipment of your replacement product to your office and a free return of your loaner product to Synca.
Minimum value of 15% off the already low direct purchase price
Should you experience failure due to accidental damage or other non-warranty failure, you can exchange your defective product for a new product with a new warranty at a special discounted price.
Minimum Value of 5% off the already low direct purchase price
You may purchase digital x-ray sensors, intra-oral cameras, and extra-oral imaging equipment at low direct prices and, as a POM client, you will receive an additional discount.
Smart SOLUTIONS for your success!